풀 페이스
개인 맞춤 솔루션
안면거상술
이중턱지방흡입
이중턱 지방흡입
포인트리프팅
처진눈·눈가주름
눈밑 지방·주름
볼·팔자·입가
이중턱·목 주름
이마
동안 피부
맞춤 지방이식
필러·보톡스
실 리프팅
남성
남성 동안성형
바디
지방흡입
지방분해주사
서울동안의원
더 좋은 이유
의료진
병원 둘러보기
진료시간/오시는길
커뮤니티
온라인상담
온라인예약
공지 · 이벤트
사례 & 후기
서울동안TV
seoul dongan clinic
서울동안의원
사례
&
후기
간단한 회원가입과 로그인 후 진솔한 사례와 후기를 참조해보세요.
온라인상담
온라인예약
공지 · 이벤트
사례 & 후기
서울동안TV
전체
얼굴
바디
탈모·기타
처진 이중턱
이중턱지방흡입+근육묶기+실고정
처진 눈밑
하안
접히는 이중턱
이중턱지방흡입+근육묶기+실고정
두툼한 이중턱
이중턱지방흡입+근육묶기+실고정
처진 얼굴
미니거상술
밋밋한 입술
입술필러
처진 입가
실리
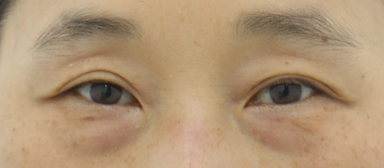
칙칙한 눈 밑
눈밑지방재배치 + 피부제거
두툼한 이중턱
이중턱지방흡입+근육묶기+실고정
흐릿한 턱선
이중턱지방흡입+근육묶기+실고정
꺼진 팔자
팔자필
처진 눈꺼풀
상안검 수술
볼록한 눈밑
눈밑
흐릿한 눈매
쌍꺼풀 수술
접히는 이중턱
이중턱지방흡입+근육묶기+실고정
처진
하
접히는 이중턱
이중턱지방흡입+근육묶기+실고정
두툼한 이중턱
이중턱지방흡입+근육묶기+실고정
흐릿한 쌍꺼풀 라인
쌍꺼풀 재수술
처진 얼굴
실리프팅
<
1
2
3
4
5
6
7
8
9
10
>
전체
제목
작성자
서울동안 TV
유용하고 바른 성형수술&시술 정보를 공유합니다.
지방흡입으로 예전처럼 돌아갈 수 있나요?
서울동안의원
지방흡입 다이어트 효과를 끌어올리려면?
서울동안의원
지방흡입과 다이어트, 어떤거 먼저 할까?
서울동안의원
울퉁불퉁 얼굴라인 원인과 개선방법은?
서울동안의원
Before & After
더보기
>
진행중인 이벤트
더보기
>
전화상담 / 예약안내
02)
423-3898
Hours
월 · 화 · 목 · 금
:
오전 10시 ~ 오후 7시
토요일
:
오전 10시 ~ 오후 5시
*점심시간 없음
휴진 - 매주 수요일, 일요일, 공휴일
Location
오시는 길
>
서울시 송파구 올림픽로 100 효창빌딩 (커피빈 건물) 7층
빠른상담
카카오톡 상담
수술·수술정보
둘러보기
>